Ortodoncia con brackets

La ortodoncia con brackets es un tratamiento dental que se utiliza para corregir la alineación y la mordida de los dientes. Los brackets son pequeños dispositivos que se adhieren a los dientes y se utilizan para aplicar presión y mover los dientes a su posición correcta. El tratamiento de ortodoncia con brackets suele durar entre 1 y 3 años, dependiendo de la gravedad de la desalineación.

Agenda Tu Consulta

Ortodoncia con alineadores

La ortodoncia con alineadores es un tratamiento dental alternativo a la ortodoncia con brackets. Los alineadores son férulas transparentes que se utilizan para mover los dientes de forma gradual. El tratamiento de ortodoncia con alineadores suele durar entre 12 y 24 meses, dependiendo de la gravedad de la desalineación.

Agenda Tu Consulta

Retenedores

Los retenedores son dispositivos que se utilizan para mantener los dientes en su posición correcta después de un tratamiento de ortodoncia. Los retenedores pueden ser fijos o removibles. Los retenedores fijos se adhieren a los dientes y deben ser retirados por el dentista. Los retenedores removibles se pueden quitar y poner, y suelen ser más cómodos que los retenedores fijos.

Agenda Tu Consulta

Implantes

Los implantes son dispositivos dentales artificiales que se insertan en el hueso maxilar o mandibular. Los implantes pueden utilizarse para reemplazar dientes perdidos o para proporcionar soporte a una dentadura postiza.

Agenda Tu Consulta

All on 4

El tratamiento All on 4 es un procedimiento de implante dental que se utiliza para reemplazar toda la dentadura superior o inferior. En este procedimiento, se insertan cuatro implantes en la mandíbula o el maxilar, y se colocan sobre ellos una dentadura completa fija.

Agenda Tu Consulta

All on 6

El tratamiento All on 6 es similar al tratamiento All on 4, pero se utilizan seis implantes en lugar de cuatro. Este procedimiento suele ser más estable que el tratamiento All on 4 y puede soportar una dentadura completa más pesada.

Agenda Tu Consulta

Dentaduras sobre implantes

Las dentaduras sobre implantes son dentaduras que se colocan sobre implantes dentales. Las dentaduras sobre implantes son una opción para las personas que han perdido todos los dientes de una arcada.

Agenda Tu Consulta

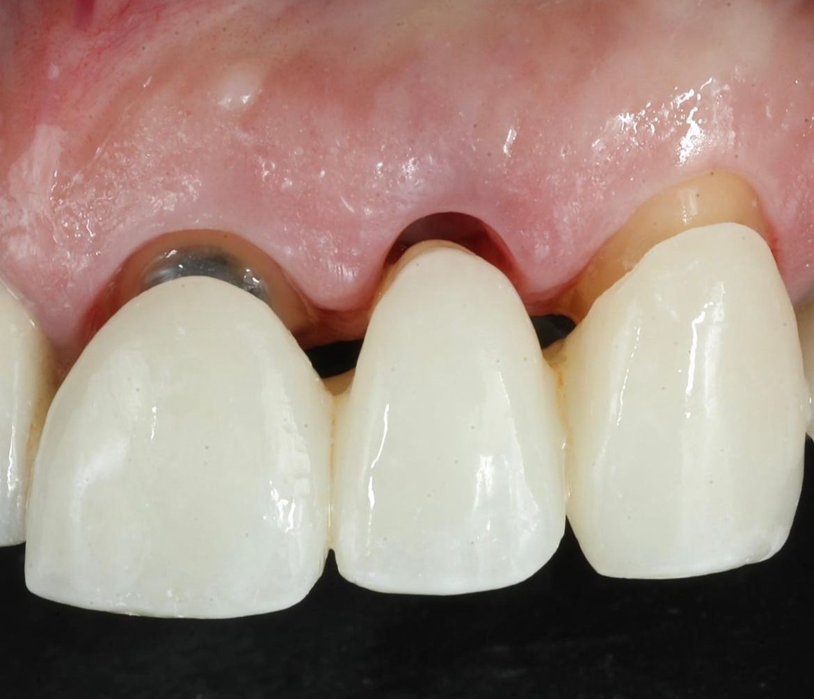
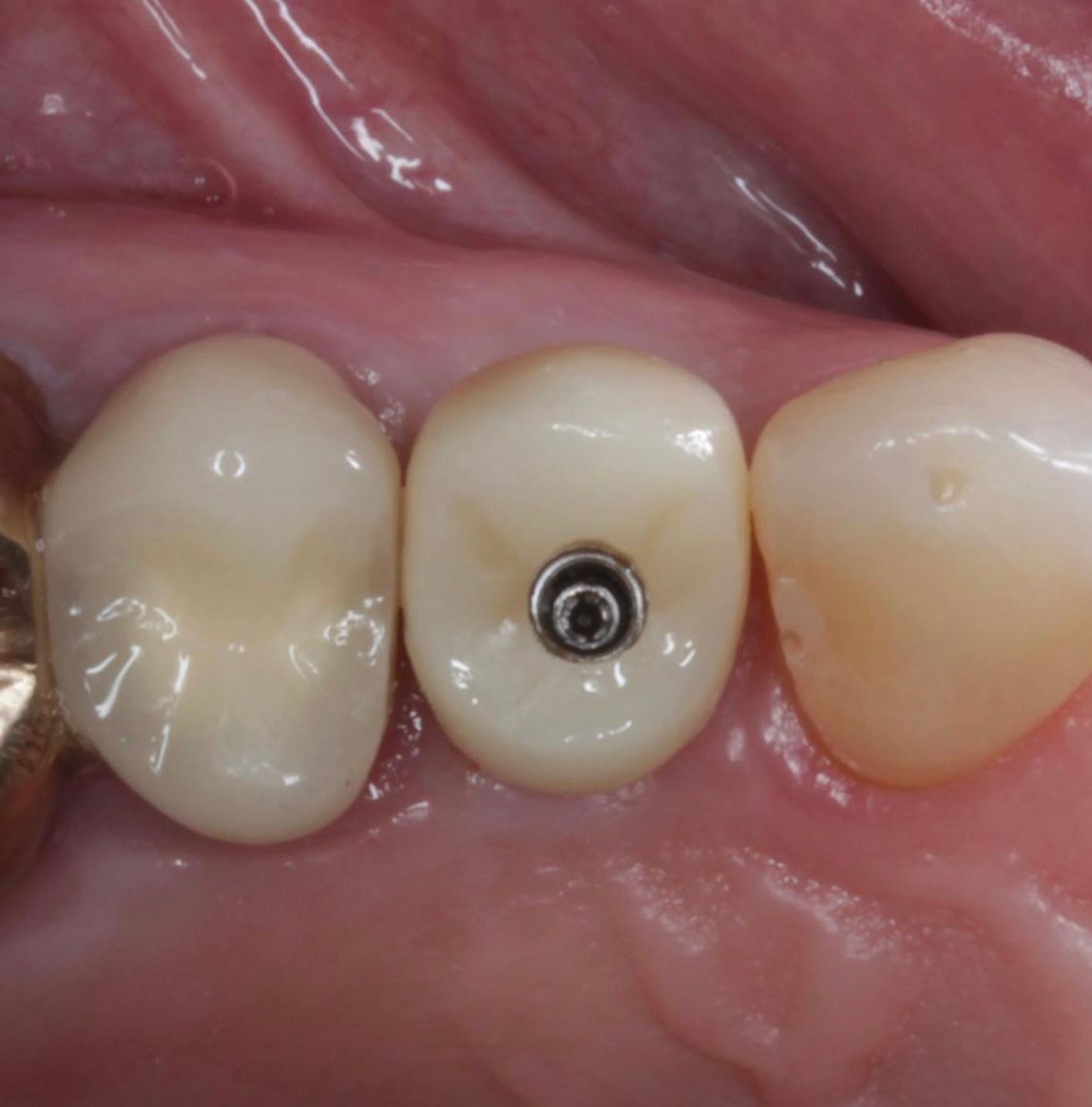
Coronas sobre implantes

Las coronas sobre implantes son una opción para las personas que han perdido un solo diente. Las coronas se colocan sobre un implante dental para reemplazar el diente perdido.

Agenda Tu Consulta

Puentes sobre diente o sobre implantes

Los puentes dentales son dispositivos que se utilizan para reemplazar dos o más dientes perdidos. Los puentes pueden colocarse sobre dientes naturales o sobre implantes dentales.

Agenda Tu Consulta

Injerto de hueso

Un injerto de hueso es un procedimiento quirúrgico que se utiliza para aumentar la cantidad de hueso en la mandíbula o el maxilar. Los injertos de hueso se utilizan a menudo para preparar la boca para un tratamiento de implantes dentales.

Agenda Tu Consulta

Injerto de tejido

Un injerto de tejido es un procedimiento quirúrgico que se utiliza para aumentar la cantidad de tejido en la boca. Los injertos de tejido se utilizan a menudo para mejorar la estética de la sonrisa o para corregir problemas de mordida.

Agenda Tu Consulta

Elevación de seno

La elevación de seno es un procedimiento quirúrgico que se utiliza para aumentar la altura del seno maxilar. La elevación de seno se utiliza a menudo para preparar la boca para un tratamiento de implantes dentales.

Agenda Tu Consulta

Dentaduras completas

Las dentaduras completas son dentaduras que reemplazan todos los dientes de una arcada. Las dentaduras completas suelen ser una opción para las personas que han perdido todos los dientes de una arcada.

Agenda Tu Consulta

Dentaduras parciales

Las dentaduras parciales son dentaduras que reemplazan algunos dientes de una arcada. Las dentaduras parciales suelen ser una opción para las personas que han perdido algunos dientes de una arcada.

Agenda Tu Consulta

Diseño de sonrisa

El diseño de sonrisa es un procedimiento dental que se utiliza para mejorar la estética de la sonrisa.

Agenda Tu Consulta

Coronas de porcelana y de zirconia

Las coronas dentales son fundas que se colocan sobre los dientes para cubrirlos, protegerlos y mejorar su apariencia. Pueden estar hechas de diferentes materiales, como porcelana, zirconia o metal.

Las coronas de porcelana son las más estéticas, pero también las más caras. Son muy resistentes y duraderas, y pueden durar toda la vida si se cuidan adecuadamente.

Las coronas de zirconia son una buena opción para personas alérgicas al metal. Son tan resistentes como las coronas de porcelana, pero son un poco más económicas.

Agenda Tu Consulta

Carillas de porcelana

Las carillas de porcelana son finas láminas que se adhieren a la superficie frontal de los dientes para mejorar su apariencia. Son una buena opción para corregir manchas, fracturas o grietas leves, o para cambiar la forma o el tamaño de los dientes.

Agenda Tu Consulta

Tratamiento de enfermedad periodontal

La enfermedad periodontal es una infección de las encías que puede causar la pérdida de dientes. El tratamiento de la enfermedad periodontal implica la eliminación de la placa y el sarro acumulados en las encías, y la reparación de los daños causados por la infección.

El tratamiento de la enfermedad periodontal puede ser realizado por un dentista o un periodoncista. El tratamiento inicial suele consistir en una limpieza profesional y en la aplicación de antibióticos. Si la infección es grave, es posible que sea necesario realizar un tratamiento quirúrgico.

Agenda Tu Consulta

Limpieza

La limpieza dental es un procedimiento que se realiza para eliminar la placa y el sarro acumulados en los dientes. La placa es una capa pegajosa de bacterias que se forma en los dientes. El sarro es una acumulación calcificada de la placa.

La limpieza dental debe realizarse al menos cada seis meses. Si la placa y el sarro se acumulan en los dientes, pueden provocar caries, enfermedad periodontal y otros problemas dentales.

Agenda Tu Consulta

Limpieza profunda

La limpieza profunda es un procedimiento más intensivo que la limpieza dental regular. Implica la eliminación del sarro acumulado debajo de la línea de las encías.

La limpieza profunda es necesaria si la placa y el sarro se han acumulado debajo de las encías. Si no se trata, la enfermedad periodontal puede causar la pérdida de dientes.

Agenda Tu Consulta

Resinas

Las resinas dentales son materiales que se utilizan para reparar dientes dañados. Las resinas se pueden utilizar para rellenar caries, reparar fracturas o grietas, o para cubrir los bordes de las coronas o puentes.

Agenda Tu Consulta

Extracciones

Una extracción dental es un procedimiento quirúrgico que se realiza para extraer un diente. Las extracciones pueden ser necesarias por varias razones, como la caries, la enfermedad periodontal, los golpes o traumatismos, o la preparación para otros tratamientos dentales, como la colocación de implantes.

Las extracciones se pueden realizar de forma simple o quirúrgica. Las extracciones simples son las más comunes y se realizan con anestesia local. Las extracciones quirúrgicas son necesarias para extraer dientes que están muy dañados o que están ubicados en posiciones difíciles de alcanzar.

Agenda Tu Consulta

Endodoncia

La endodoncia es un tratamiento que se realiza para salvar un diente que ha sufrido daño en la pulpa dental. La pulpa dental es el tejido blando que se encuentra en el centro del diente y contiene los nervios y los vasos sanguíneos.

El tratamiento de conducto radicular implica la eliminación de la pulpa dental dañada y la limpieza y sellado de los conductos radiculares.

Agenda Tu Consulta

Postes

Los postes dentales son dispositivos que se utilizan para reforzar los dientes que han perdido parte de su estructura. Los postes se colocan en el canal radicular del diente y se utilizan como base para una corona o puente.

Agenda Tu Consulta